
Manchas cromógenas en los dientes: causas, tratamientos y prevención
septiembre 13, 2025
Arcos dentales vs. hilo dental tradicional: ¿cuál es mejor?
octubre 9, 2025
Manchas cromógenas en los dientes: causas, tratamientos y prevención
septiembre 13, 2025
Arcos dentales vs. hilo dental tradicional: ¿cuál es mejor?
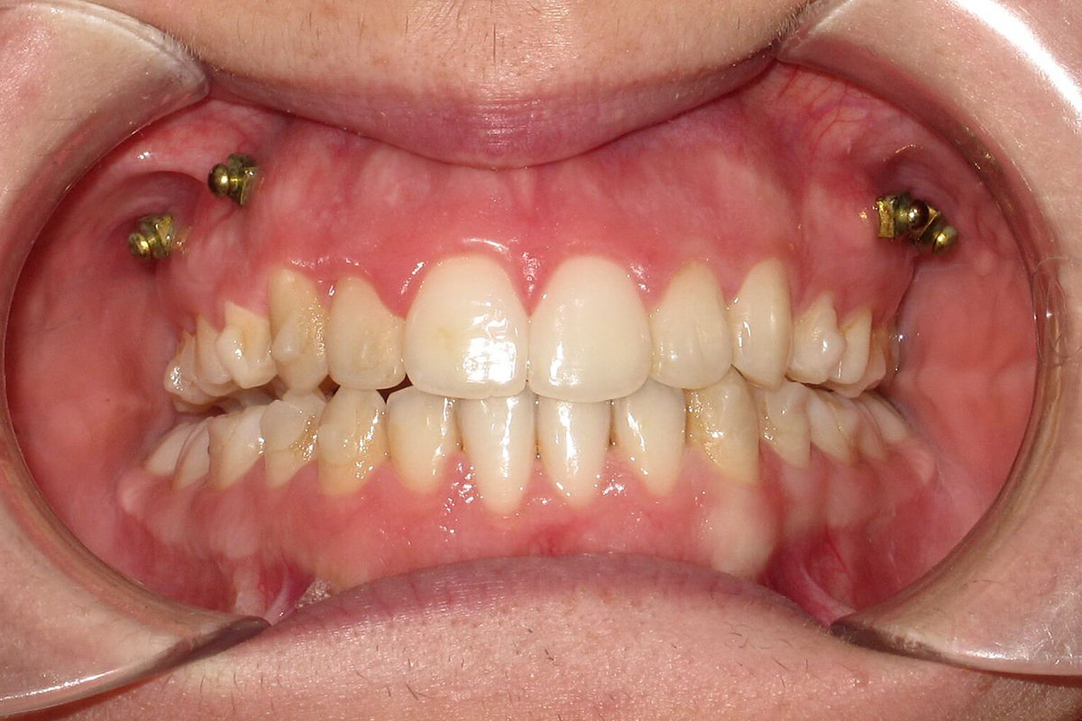
octubre 9, 2025Nuevo método en ortodoncia: Microtornillos

En los últimos años, la ortodoncia ha evolucionado con técnicas más cómodas, seguras y eficaces. Una de las más innovadoras son los microtornillos, también llamados microimplantes ortodóncicos.
¿Qué son los microtornillos en ortodoncia?
Son pequeños tornillos de titanio que se colocan temporalmente en el hueso maxilar o mandibular. Su función es servir como punto de anclaje para mover los dientes con mayor precisión y rapidez.

En qué casos se utilizan?
-
Pacientes que necesitan movimientos dentales complejos.
-
Corrección de mordidas abiertas o profundas.
-
Tratamientos donde la ortodoncia convencional no ofrece suficiente anclaje.


Beneficios frente a la ortodoncia convencional
-
Mayor control en los movimientos dentales.
-
Tratamientos más rápidos en algunos casos.
-
Menos necesidad de extracciones dentales.
-
Evitan depender de aparatos externos como los elásticos o arcos extraorales.

¿Es doloroso el procedimiento?
La colocación es rápida y se hace con anestesia local, por lo que el paciente solo siente una ligera presión. Después puede haber una molestia leve que desaparece en pocos días.
Seguridad y cuidados
Los microtornillos son seguros y biocompatibles. Se retiran fácilmente una vez finalizado el tratamiento. Para cuidarlos basta con mantener una buena higiene oral, cepillando bien alrededor y usando enjuague recomendado por el ortodoncista.
