
Ortodoncia invisible: cómo funciona y cuáles son sus beneficios
agosto 21, 2025
Nuevo método en ortodoncia: Microtornillos
septiembre 24, 2025
Ortodoncia invisible: cómo funciona y cuáles son sus beneficios
agosto 21, 2025
Nuevo método en ortodoncia: Microtornillos
septiembre 24, 2025Manchas cromógenas en los dientes: causas, tratamientos y prevención
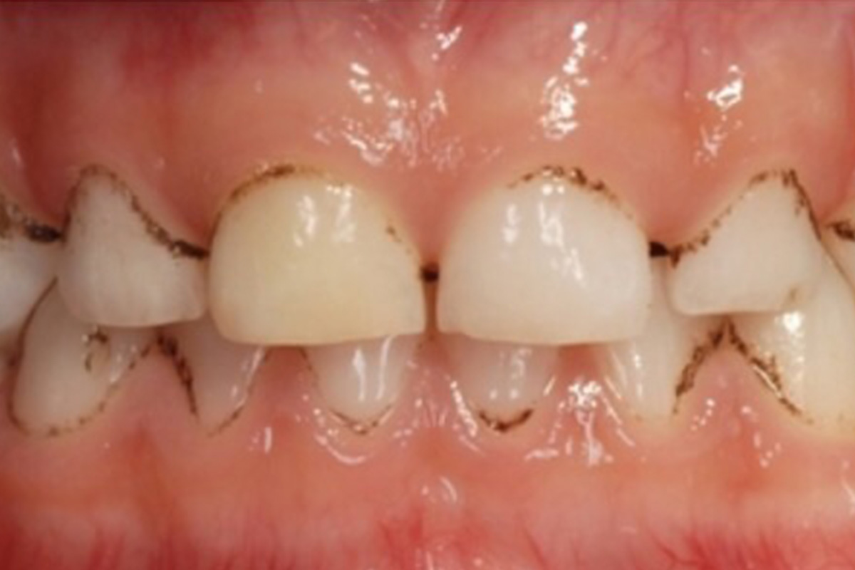
La sonrisa dice mucho de nosotros, y a veces se ve afectada por la aparición de unas manchas oscuras en los dientes conocidas como manchas cromógenas. Suelen preocupar por su aspecto, pero en realidad son el reflejo de un desequilibrio microbiano en la boca.
¿Qué son las manchas cromógenas?
Son pigmentaciones superficiales que aparecen en la superficie del esmalte, generalmente cerca de la encía y en la parte interna de molares o incisivos.
Se producen por la proliferación de bacterias cromógenas, que liberan pigmentos (ricos en hierro u otros compuestos) capaces de adherirse al diente y generar colores oscuros, desde verde hasta marrón o negro.
A diferencia de las caries, estas manchas no destruyen el diente, pero sí indican que algo está ocurriendo en el equilibrio de la microbiota oral.

¿Por qué aparecen?
Las causas más frecuentes son:
-
Desequilibrio microbiano oral → proliferación de bacterias cromógenas.
-
Acumulación de placa bacteriana por una higiene insuficiente.
-
Cambios en la composición de la saliva que favorecen un ambiente propicio para estas bacterias.
-
Edad: más habituales en niños y adolescentes, aunque también presentes en adultos.
-
Hábitos de vida: consumo frecuente de café, té, vino tinto o tabaco puede intensificarlas.
¿Un problema estético o de salud?
Aunque en la mayoría de los casos son un problema estético, su aparición refleja una alteración microbiana.
Si no se controla, la acumulación bacteriana puede aumentar el riesgo de placa, inflamación gingival o caries.
Por eso, no conviene subestimarlas: son un aviso de que la microbiota oral necesita atención.

Tratamiento: más allá de la limpieza
Muchas personas piensan que basta con una limpieza profesional para eliminarlas, pero no siempre es así.
Si bien la profilaxis con ultrasonidos, pulido o airflow ayuda a retirar las manchas visibles, el abordaje correcto debe incluir una valoración personalizada:
-
Índice de placa → mide la cantidad de placa bacteriana presente.
-
Índice de sangrado → evalúa la salud de las encías.
-
Riesgo periodontal → determina la predisposición a enfermedad de encías.
En función de estos factores, el odontólogo ajustará la frecuencia de las limpiezas y recomendará medidas adicionales, que pueden incluir:
-
Refuerzo en la técnica de cepillado.
-
Uso de pastas o colutorios antibacterianos específicos.
-
Controles más frecuentes en pacientes con mayor riesgo.
De esta forma, no solo se eliminan las manchas, sino que se trabaja en restaurar el equilibrio microbiano y prevenir su reaparición.
Prevención de las manchas cromógenas
Algunas medidas prácticas para evitar que aparezcan o reaparezcan:
-
Cepillarse al menos dos veces al día con pasta fluorada.
-
Usar hilo dental o cepillos interdentales diariamente.
-
Evitar el exceso de bebidas pigmentantes (café, té, vino, refrescos oscuros).
-
No fumar.
-
Acudir a revisiones odontológicas periódicas para seguimiento individualizado.

Consejos prácticos del día a día
-
Cambia tu cepillo cada 3 meses o antes si se desgasta.
-
Bebe agua tras consumir bebidas pigmentantes.
-
Si las manchas aparecen en niños, consulta al odontopediatra: no es un problema grave, pero sí un signo de desequilibrio que conviene supervisar.
-
No intentes eliminarlas en casa con remedios abrasivos: podrías dañar el esmalte.
Las manchas cromógenas no son peligrosas en sí mismas, pero reflejan un desequilibrio de la microbiota oral que merece atención.
El tratamiento no debe limitarse a una limpieza puntual: es fundamental que el odontólogo valore el caso con índice de placa, sangrado y riesgo periodontal para diseñar un plan de seguimiento y prevención adecuado.
Así, además de recuperar la estética de tu sonrisa, estarás cuidando la salud integral de tu boca.

