Encías inflamadas: ¿qué está pasando?

Cosmodent Candelaria - Clínica Dental en Tenerife | Encías inflamadas: ¿qué está pasando?
¿Blanquear los dientes en casa? La verdad sobre el carbón activado y la cáscara de plátano
febrero 24, 2026
Cosmodent Candelaria - Clínica Dental en Tenerife | Encías inflamadas: ¿qué está pasando?
¿Un diente puede cambiar de color tras un golpe?
marzo 25, 2026
Cosmodent Candelaria - Clínica Dental en Tenerife | Encías inflamadas: ¿qué está pasando?
¿Blanquear los dientes en casa? La verdad sobre el carbón activado y la cáscara de plátano
febrero 24, 2026
Cosmodent Candelaria - Clínica Dental en Tenerife | Encías inflamadas: ¿qué está pasando?
¿Un diente puede cambiar de color tras un golpe?
marzo 25, 2026

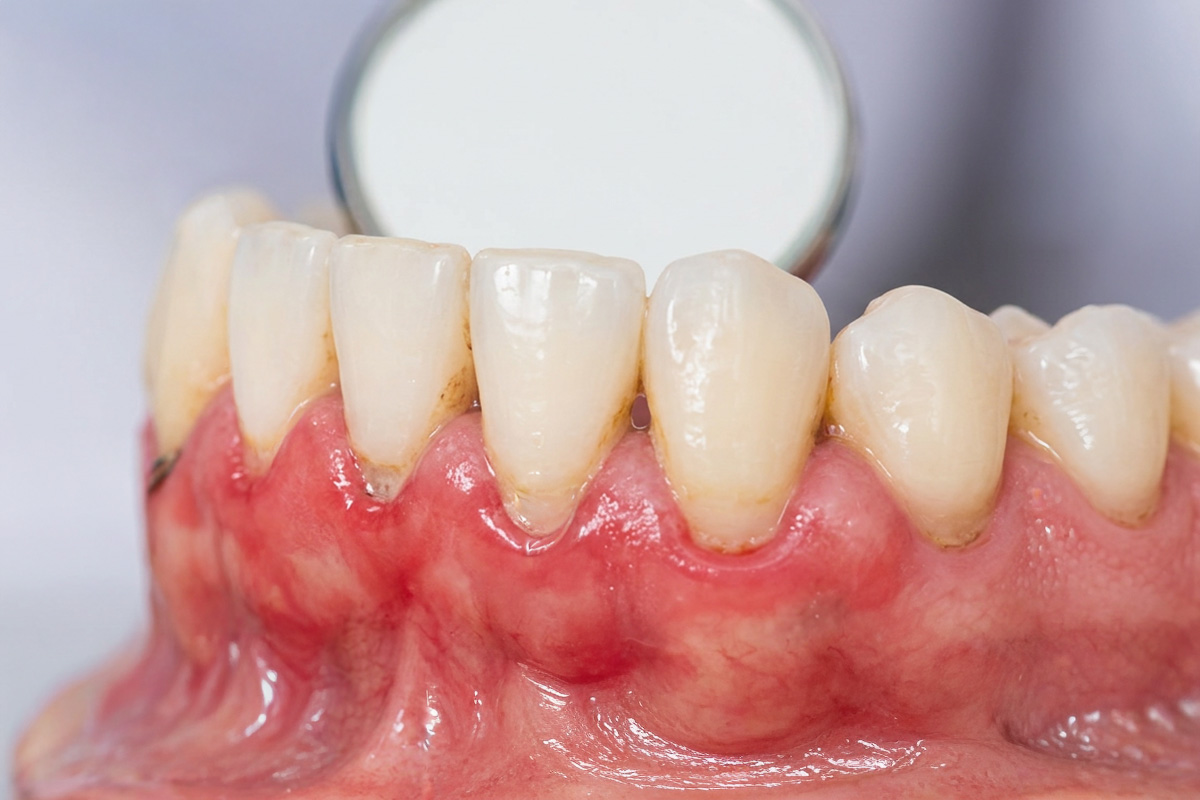
Encías inflamadas, pero te cepillas a diario: ¿qué está pasando?

Muchas personas se preocupan cuando notan encías inflamadas o sangrado al cepillarse, incluso aunque se cepillen los dientes todos los días. Aunque tengas una buena rutina de higiene, la inflamación de encías puede aparecer por diferentes motivos.

En Cosmodent Candelaria, este es un problema bastante frecuente. Te explicamos por qué ocurre, cómo prevenirlo y cuándo deberías acudir al dentista.

Acumulación de placa bacteriana

La causa más habitual es la placa bacteriana que se acumula entre los dientes y en la línea de las encías. Incluso si te cepillas a diario, pueden quedar restos si no utilizas hilo dental o la técnica de cepillado no es la correcta.

Esta acumulación puede provocar gingivitis, cuyos síntomas más comunes son:

  • Encías rojas o inflamadas

  • Sangrado al cepillarse

  • Mal aliento persistente

Si no se trata a tiempo, puede evolucionar hacia periodontitis, una enfermedad más seria de las encías.

Cepillado demasiado fuerte

Cepillarse con demasiada fuerza puede irritar las encías y provocar inflamación. Muchas personas creen que así limpian mejor, pero en realidad puede dañar los tejidos.

Lo recomendable es usar un cepillo de cerdas suaves y realizar movimientos suaves y circulares.

Cómo prevenir la inflamación de encías

Para mantener unas encías sanas es importante seguir algunos hábitos básicos:

  • Cepillarse los dientes 2 o 3 veces al día

  • Utilizar hilo dental diariamente

  • Usar enjuague bucal si lo recomienda el dentista

  • Realizar limpiezas dentales profesionales periódicamente

Una limpieza profesional ayuda a eliminar la placa y el sarro que no se pueden eliminar solo con el cepillado en casa.

Cuándo acudir al dentista

Es recomendable acudir al dentista si notas:

  • Encías inflamadas que no mejoran

  • Sangrado frecuente al cepillarte

  • Mal aliento persistente

  • Dolor o sensibilidad en las encías

Detectar el problema a tiempo permite tratar la inflamación de forma sencilla y evitar problemas mayores.

En Cosmodent Candelaria, evaluamos el estado de tus encías y te ayudamos a recuperar tu salud bucodental con tratamientos personalizados.